صالح الصواط – جدة

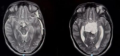
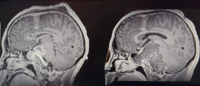
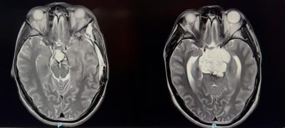
نجح فريق طبي سعودي في مستشفى الملك فهد بجدة عضو تجمع جدة الصحي الثاني بقيادة د. هاني القرشي في استئصال ورم حبلي نادر ومعقد من قاع الجمجمة، خلال ثلاث عمليات جراحية متتالية استغرقت ٣٥ ساعة. الورم كان ضاغطًا على جذع الدماغ والأعصاب القحفية، وتعامل معه الفريق بتقنيات جراحية متقدمة لا تُجرى إلا في مراكز عالمية محدودة، ولله الحمد المريض تعافى وعاد لحياته الطبيعية دون أي عجز عصبي يذكر.

حيث شاركه في الفريق الجراحي أطباء مقيمون متدربون في برنامج الزمالة السعودية لجراحة المخ والأعصاب؛ د. عبدالعزيز باصُرّة، د. ديمة السحلي، د. مريم عناني و د. زياد الزهراني. وطاقم تخديري متميز؛ د. زكريا شوقي و د. أحمد الحِلَيْلي، وفريق التمريض الرائع أ. يوسف المطيري والممرضتان ميني توماس وبريا.

يأتي هذا الإنجاز ليعكس ما يشهده تجمع جدة الصحي الثاني من تطورٍ متسارع في جودة الخدمات الطبية، التي تستثمر في الكفاءات الوطنية وتوفر أحدث التقنيات الطبية، ما يجعل المملكة في مصاف الدول الرائدة في تقديم الرعاية الصحية التخصصية المتقدمة.

اترك تعليقاً